191 Google Reviews 4.9 stars
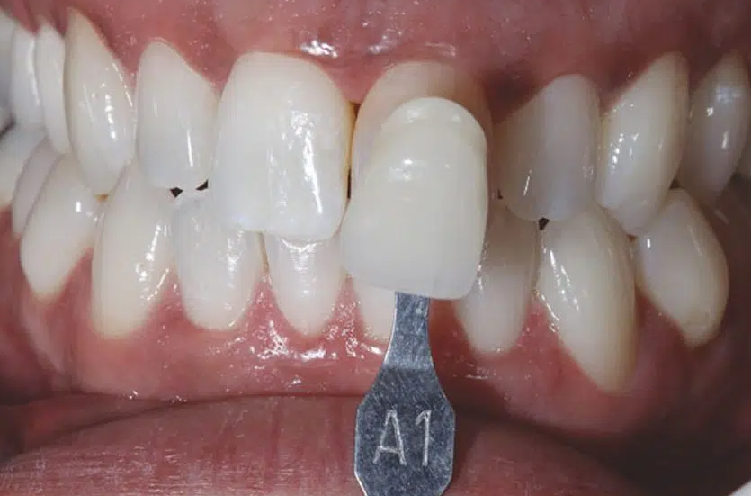
Precision Color Shade Matching for a Seamless Smile
Achieving a perfect color match is one of the most important steps in cosmetic restorations and teeth whitening. Our advanced color shade matching process ensures that your new crown, veneer, or filling blends naturally with the surrounding teeth for a balanced, beautiful smile. Matching shade and translucency is essential for achieving lifelike results that complement your skin tone, lighting conditions, and natural enamel color.
Accurate Results with VITA Easyshade® Technology
At Steelman DDS, we use the VITA Easyshade® system, an industry-leading digital tool that measures the precise shade of your natural teeth. This technology removes the guesswork from color selection and allows us to create restorations that are virtually indistinguishable from your original enamel. The result is a smile that looks natural under all lighting conditions — bright, even, and harmonious.
Dr. Steven Streelman, a graduate of Loma Linda University School of Dentistry (Class of 2002), has spent over two decades refining his expertise in aesthetic dentistry. While earning his Doctor of Dental Surgery (D.D.S.) degree, he received the prestigious Quintessence Publishing Award for Research, a testament to his dedication to innovation and precision in dental care. His commitment to accuracy and artistry continues to guide every restoration performed in our Oceanside practice today.
Bringing It All Together
Whether you are enhancing your smile with porcelain veneers, restoring function with dental crowns or implants, or brightening your teeth through professional whitening, precise color shade matching ensures every treatment looks seamless and natural. At Steelman DDS, we combine advanced technology, artistry, and experience to create results that feel authentic to you. Each restoration is custom-crafted to blend beautifully with your existing teeth so your smile looks bright, balanced, and completely your own.
